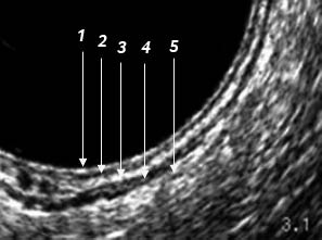
A escolha do tratamento para o tumor de reto está diretamente relacionado à identificação do estadiamento do tumor, ou seja, identificar em qual ou quais das cinco camadas do reto foram afetadas pelo tumor.
O ultrassom endorretal deve ser realizado com transdutor de alta resolução e gerar imagens de 360° para que o estudo seja circunferencial e sejam observadas com nitidez as cinco camadas da parede do reto: 1.Mucosa; 2.Muscular da mucosa; 3.Submucosa; 4.Muscular própria; 5.Gordura peri-retal.
Veja na imagem abaixo as 5 camadas:
Figura 1: Imagem adquirida com Transdutor da BK Medical modelo 2052
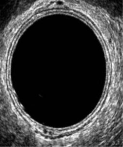
Figura 2. Ampliação da figura 1
Os tumores são estadiados ultrasonograficamente em:
T0: Invasão da mucosa e muscular da mucosa
T1: Submucosa
T2: Muscular própria
T3: Gordura periretal
T4: Órgãos adjacentes
Em relação ao comprometimento ganglionar:
N0: sem metástase
N1: com metástase
Fonte: SBCP - Acesso em 07/11/2017

“Em conclusão, o ultrassom é um exame de imagem de fácil realização, baixo custo e que possibilita o estadiamento dos tumores quanto à invasão parietal e ao comprometimento de linfonodos, contribuindo desta maneira no planejamento do tratamento cirúrgico.”
Fonte: SBCP | Acesso em 01/11/2017

Neste exame de ultrassom é adquirido um cubo onde é possível avaliar a lesão de modo tridimensional e realizar as medidas.
Deixe um comentário